유아 폐렴 이란
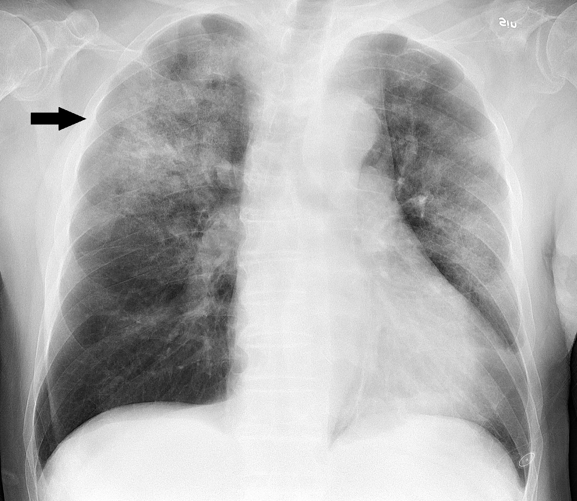
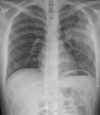
폐렴(Pneumonia)은 폐의 기피세포들을 중심으로 발생하는 감염성 질환으로, 일반적으로 세균, 바이러스, 곰팡이 등으로 인해 발생합니다. 이러한 감염으로 인해 폐포 내부에 염증이 발생하고, 고영양 물질이 침습하여 세포에 손상을 줄 수 있습니다.
폐렴은 주로 호흡기 감염으로 발생하며, 전염성이 높아 감염자와의 접촉, 비말, 침 등을 통해 전파될 수 있습니다. 다른 질병과 함께 발생할 수 있고, 폐암, 흉막염, 심장병, 당뇨병 등 다양한 기저 질환을 가진 환자에서 합병증의 위험이 높아집니다.
폐렴 원인
폐렴은 일반적으로 세균, 바이러스, 균류, 곰팡이 등에 의해 감염이 되어 발생합니다. 다음은 각각의 폐렴 원인에 대한 자세한 설명입니다:
세균성 폐렴: 세균성 폐렴은 일반적으로 스트레프토코커스 폐렴균이나 항생제에 내성을 가진 다른 세균에 의해 발생합니다. 이러한 세균은 호흡기로 퍼져 폐에서 염증을 일으키며, 감염 부위에서 분비되는 분비물이 증상을 악화시킵니다.
세균성 폐렴
세균성 폐렴은 일반적으로 스트레프토코커스 폐렴균이나 항생제에 내성을 가진 다른 세균에 의해 발생합니다. 이러한 세균은 호흡기로 퍼져 폐에서 염증을 일으키며, 감염 부위에서 분비되는 분비물이 증상을 악화시킵니다.
바이러스성 폐렴:
바이러스성 폐렴은 일반적으로 호흡기 바이러스에 의해 발생합니다. 이러한 바이러스는 폐의 기관지나 폐포에서 염증을 일으키며, 호흡기 증상과 함께 고열, 피로 등의 증상이 나타납니다.
바이러스성 폐렴은 일반적으로 호흡기 바이러스에 의해 발생합니다. 이러한 바이러스는 폐의 기관지나 폐포에서 염증을 일으키며, 호흡기 증상과 함께 고열, 피로 등의 증상이 나타납니다.
균류성 폐렴:
균류성 폐렴은 곰팡이나 기타 균류에 의해 발생합니다. 이러한 균류는 일반적으로 흙이나 조경, 산림, 흙 등에서 발생하며, 호흡기로 인해 들어가 폐에서 감염을 일으킵니다.
균류성 폐렴은 곰팡이나 기타 균류에 의해 발생합니다. 이러한 균류는 일반적으로 흙이나 조경, 산림, 흙 등에서 발생하며, 호흡기로 인해 들어가 폐에서 감염을 일으킵니다.
기타 요인:
기타 폐렴 원인으로는 환경 오염, 동물 똥, 새의 부산물 등도 있습니다. 이러한 요인들은 폐 건강에 악영향을 미칠 수 있습니다.
폐렴의 원인은 다양하며, 감염의 종류와 심각성에 따라 증상과 치료법이 달라질 수 있습니다. 따라서 폐렴 발생시 적절한 진단과 치료를 받아야 합니다.






폐렴 초기증상
폐렴 초기 증상은 대개 감기와 유사하며, 점차적으로 악화됩니다. 폐렴 초기 증상은 다음과 같습니다:
발열: 38도 이상의 고열이 나타납니다.
38도 이상의 고열이 나타납니다. 기침: 가래가 있을 수 있으며, 가래가 갈색 또는 초록색일 수 있습니다.
가래가 있을 수 있으며, 가래가 갈색 또는 초록색일 수 있습니다. 호흡 곤란: 숨 쉬기가 어렵거나 빈번한 기침으로 인해 호흡이 어려울 수 있습니다.
숨 쉬기가 어렵거나 빈번한 기침으로 인해 호흡이 어려울 수 있습니다. 가슴 통증: 가슴에서 뻐근하거나 아프게 느껴질 수 있습니다.
가슴에서 뻐근하거나 아프게 느껴질 수 있습니다. 피로감: 폐렴 초기에는 피로하고 힘들어하는 것이 일반적입니다.
폐렴 초기에는 피로하고 힘들어하는 것이 일반적입니다. 두통과 근육통: 때때로 두통, 근육통 등의 증상이 나타날 수 있습니다.
때때로 두통, 근육통 등의 증상이 나타날 수 있습니다. 인후통: 폐렴으로 인해 인후통이나 목 아픔이 생길 수 있습니다.
폐렴으로 인해 인후통이나 목 아픔이 생길 수 있습니다. 구토와 설사: 폐렴으로 인해 위장 장애가 생길 수 있습니다.
폐렴 초기 증상은 대개 감기와 비슷하여 누락될 수 있으므로, 증상이 지속될 경우 의료진의 진단과 치료를 받아야 합니다. 특히, 고령자, 영유아, 면역력이 저하된 환자 및 만성 질환을 가진 환자들은 폐렴 초기 증상이 발생할 경우 즉시 의료진의 치료를 받아야 합니다.
폐렴 치료방법
폐렴 치료 방법은 감염의 원인과 심각성에 따라 다르며, 대부분의 경우에는 항생제 치료가 필요합니다. 다음은 폐렴 치료 방법에 대한 상세한 설명입니다:
항생제 치료: 대부분의 폐렴은 세균 감염에 의한 것이므로, 선별적인 항생제 치료가 필요합니다. 의료진은 환자의 증상과 진단 결과를 바탕으로 적절한 항생제를 처방합니다.
대부분의 폐렴은 세균 감염에 의한 것이므로, 선별적인 항생제 치료가 필요합니다. 의료진은 환자의 증상과 진단 결과를 바탕으로 적절한 항생제를 처방합니다. 항바이러스제 치료: 바이러스 감염으로 인한 폐렴의 경우 항바이러스제 치료가 필요할 수 있습니다. 예를 들어 인플루엔자 바이러스에 의한 폐렴은 항바이러스제 치료를 통해 치료할 수 있습니다.
바이러스 감염으로 인한 폐렴의 경우 항바이러스제 치료가 필요할 수 있습니다. 예를 들어 인플루엔자 바이러스에 의한 폐렴은 항바이러스제 치료를 통해 치료할 수 있습니다. 산소 치료: 호흡이 어려운 환자의 경우, 산소 치료가 필요할 수 있습니다. 산소 치료는 호흡 부전을 예방하고 호흡 곤란을 완화하는 데 도움을 줍니다.





호흡이 어려운 환자의 경우, 산소 치료가 필요할 수 있습니다. 산소 치료는 호흡 부전을 예방하고 호흡 곤란을 완화하는 데 도움을 줍니다. 적절한 약물 치료: 증상 완화를 위해 통증 완화제, 해열제, 기침 억제제 등을 사용할 수 있습니다. 하지만 약물 사용은 의료진과의 상담이 필요합니다.
증상 완화를 위해 통증 완화제, 해열제, 기침 억제제 등을 사용할 수 있습니다. 하지만 약물 사용은 의료진과의 상담이 필요합니다. 수액 치료: 체액 부족을 방지하고 면역력을 향상시키기 위해 수액 치료가 필요할 수 있습니다.
항생제와 같은 치료를 받으면 대부분의 환자는 증상이 완화되고 완치됩니다. 하지만 만약 치료를 제대로 받지 않거나 면역력이 저하된 환자일 경우 합병증이 발생할 수 있으므로, 증상이 지속되는 경우 의료진과 상담해야 합니다.
폐렴 예방법
예방접종:
폐렴균 예방접종은 모든 연령대에 추천되며, 특히 노인, 어린이, 장애인, 면역력이 약한 환자, 만성 질환을 가진 환자 등 고위험군에게 권장됩니다.
폐렴균 예방접종은 모든 연령대에 추천되며, 특히 노인, 어린이, 장애인, 면역력이 약한 환자, 만성 질환을 가진 환자 등 고위험군에게 권장됩니다. 손 씻기: 매일 깨끗한 물과 비누를 사용하여 손을 깨끗이 씻어야 합니다.
매일 깨끗한 물과 비누를 사용하여 손을 깨끗이 씻어야 합니다. 마스크 착용: 인후통이나 기침 증상이 있는 사람과 가까운 곳에서 마스크를 착용하여 호흡기 바이러스나 세균 전파를 방지할 수 있습니다.
인후통이나 기침 증상이 있는 사람과 가까운 곳에서 마스크를 착용하여 호흡기 바이러스나 세균 전파를 방지할 수 있습니다. 건강한 생활 습관: 특히 흡연과 과음은 호흡기 질환의 위험을 증가시킬 수 있으므로 흡연을 하지 않거나 줄이고, 건강한 식습관과 생활습관을 유지해야 합니다.
특히 흡연과 과음은 호흡기 질환의 위험을 증가시킬 수 있으므로 흡연을 하지 않거나 줄이고, 건강한 식습관과 생활습관을 유지해야 합니다. 청결한 환경 유지: 집이나 사무실 등에서 공기가 맑고 청결한 환경을 유지하는 것이 중요합니다.
집이나 사무실 등에서 공기가 맑고 청결한 환경을 유지하는 것이 중요합니다. 면역력 강화: 충분한 수면과 규칙적인 운동, 영양 가치가 높은 식습관을 유지하며, 스트레스를 줄이는 것도 폐렴 예방에 도움이 됩니다.
폐렴에 도움되는 음식
폐렴에 걸린 환자가 빠른 회복을 위해 올바른 식습관을 유지하는 것이 중요합니다.
과일과 채소:
식이섬유와 비타민 C가 풍부한 과일과 채소는 폐 건강에 도움이 됩니다. 상온의 신선한 과일이나 채소를 섭취하는 것이 좋습니다.
식이섬유와 비타민 C가 풍부한 과일과 채소는 폐 건강에 도움이 됩니다. 상온의 신선한 과일이나 채소를 섭취하는 것이 좋습니다. 양파와 마늘: 양파와 마늘은 항산화물질과 항염작용이 있는 화학성분이 풍부합니다. 이러한 성분은 폐렴의 증상을 완화하고 면역력을 향상시킬 수 있습니다.
양파와 마늘은 항산화물질과 항염작용이 있는 화학성분이 풍부합니다. 이러한 성분은 폐렴의 증상을 완화하고 면역력을 향상시킬 수 있습니다. 우유와 유제품: 우유와 유제품은 단백질, 칼슘, 비타민 D가 풍부합니다. 이러한 영양소는 폐 건강을 유지하는 데 도움이 됩니다.
우유와 유제품은 단백질, 칼슘, 비타민 D가 풍부합니다. 이러한 영양소는 폐 건강을 유지하는 데 도움이 됩니다. 미역과 다시마: 미역과 다시마는 식이섬유, 칼슘, 마그네슘, 철분 등의 영양소가 풍부합니다. 이러한 영양소는 폐 건강을 유지하는 데 도움이 됩니다.
미역과 다시마는 식이섬유, 칼슘, 마그네슘, 철분 등의 영양소가 풍부합니다. 이러한 영양소는 폐 건강을 유지하는 데 도움이 됩니다. 물: 충분한 양의 물을 섭취하는 것은 체액을 보충하고 분해 물질을 배출하는 데 도움이 됩니다.
폐렴에 걸린 환자는 증상의 심각성에 따라 식사량이나 종류를 제한받을 수도 있습니다. 따라서 환자의 상태와 의료진의 조언을 바탕으로 적절한 식사 계획을 수립하는 것이 중요합니다.






폐렴에 도움되는 운동
폐렴은 호흡기 감염으로 인해 호흡 곤란, 기침, 흉통 등의 증상을 유발할 수 있습니다. 따라서 폐렴 환자는 체력을 유지하고 호흡기 기능을 회복하기 위해 적절한 운동을 할 필요가 있습니다. 하지만, 폐렴 환자는 증상이 심하고 체력이 약해져 있으므로, 운동을 할 때는 안전을 고려해야 합니다.
호흡 운동:
호흡 운동은 폐의 기능을 향상시키는 데 도움이 됩니다. 따라서 폐렴 환자는 깊게 숨을 들이쉬고 천천히 내쉬는 연습을 할 수 있습니다. 이를 통해 폐 건강을 개선하고 호흡기 근육을 강화할 수 있습니다.
호흡 운동은 폐의 기능을 향상시키는 데 도움이 됩니다. 따라서 폐렴 환자는 깊게 숨을 들이쉬고 천천히 내쉬는 연습을 할 수 있습니다. 이를 통해 폐 건강을 개선하고 호흡기 근육을 강화할 수 있습니다. 적당한 유산소 운동: 적당한 유산소 운동은 폐 건강을 개선하는 데 도움이 됩니다. 예를 들어, 산책, 빠르게 걷기, 자전거 타기 등의 운동은 호흡을 촉진하고 폐 기능을 향상시키는 데 도움이 됩니다.
적당한 유산소 운동은
폐 건강을 개선하는 데 도움이 됩니다. 예를 들어, 산책, 빠르게 걷기, 자전거 타기 등의 운동은 호흡을 촉진하고 폐 기능을 향상시키는 데 도움이 됩니다. 체력 강화 운동: 체력 강화 운동은 폐렴 환자의 체력을 회복하는 데 도움이 됩니다. 예를 들어, 유산소 운동과 함께 근력 강화 운동을 할 수 있습니다. 근력 강화 운동은 근육을 강화하고 체력을 향상시키는 데 도움이 됩니다.
체력 강화 운동은
폐렴 환자의 체력을 회복하는 데 도움이 됩니다. 예를 들어, 유산소 운동과 함께 근력 강화 운동을 할 수 있습니다. 근력 강화 운동은 근육을 강화하고 체력을 향상시키는 데 도움이 됩니다. 요가: 요가는 호흡 운동과 체력 강화 운동을 결합한 운동으로, 폐 건강을 개선하는 데 도움이 됩니다. 또한, 요가는 스트레스를 줄이고 면역 체계를 강화하는 데도 도움이 됩니다.
폐렴 환자는 적절한 운동을 통해 폐 건강을 회복할 수 있습니다. 하지만, 운동을 할 때는 체력과 증상을 고려하고, 안전하게 운동을 할 수 있도록 의료 전문가와 상의하면서 진행해야 합니다.
최신 2024 열사병 일사병 차이 원인 증상 치료 예방법
오늘 말씀드릴 것은 열사병 일사병 차이 원인 증상 치료 예방법 총정리 에 관한 이야기 입니다. 열사병 일사병 차이 원인 증상 치료 예방법 총정리 에 대한 관심은 요즘 화제인데요. 열사병 일사
lowpanic.omwteam.com
최신 2024 맹장염 초기증상 9가지 자가진단
맹장 초기증상 - 일상에 갑자기 찾아오는 맹장염(충수염) 어느 날 우연히 인터넷 검색을 하다가 재미있는 글을 발견하였습니다. 배꼽 아래 손가락 두 마디 정도 되는 지점을 눌렀을 때 통증이 느
lowpanic.omwteam.com