뇌경색 초기증상 7가지
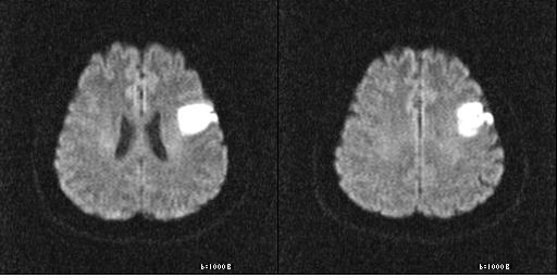
뇌경색은 뇌혈관이 막혀서 뇌의 일부가 손상되는 질환으로 동맥경화증에 의해 병든 혈관에서 발생하는 혈전이 심장이나 굶은 뇌동맥 등에서 떨어져 나와 말단부 뇌혈관을 막아 뇌손상을 일으킬 수 있답니다.
멀쩡하던 사람도 하루아침에 급작스럽게 증상이 나타나는데 10분 이내로 증상이 회복되는 경우도 많아서 대수롭지 않게 그냥 넘겨버리는 경우도 있어 더욱더 위험해지기도 해요.
짧은 시간 지속되더라도 방치하지 말고 빠르게 병원을 방문하여 적절한 진단과 치료를 받아야 예후도 좋답니다. 뇌경색에 대한 치료와 회복을 하며 추후 재활치료가 필요하기도 해요.
이러한 뇌경색 초기증상에는 어떤것들이 있는지 알아볼게요.






뇌경색 초기증상 이상 종류들
1. 뇌경색 초기증상 편측마비
팔다리에 힘이 빠지거나 감각이 둔해지는 등의 뇌경색이 발생한 뇌의 반대쪽 다리나 팔에 마비 증상이 나타나게됩니다.
2. 뇌경색 초기증상 안면마비
안면신경을 지나가는 뇌혈관이 막히게 되면 안면마비가 일어나게됩니다. 안면근육이 틀어지고 입이 비뚤어지거나 눈이 잘 감기지 않는 등의 증상이 나타나게됩니다.
3. 뇌경색 초기증상 감각이상
뇌경색이 발생하면 뇌경색이 발생한 뇌의 반대편 다리의 감각이나 운동역량이 상실되어요.
4. 뇌경색 초기증상 언어장애
뇌혈관에 혈액순환장애가 발생하면 상대방의 말을 올바르게 이해하지 못하고 발음이 어눌해지는등 언어장애가 나타나게됩니다. 말을 할때 혀가 굳어 발음이 어눌해지게 돼요.






5. 뇌경색 초기증상 시야 장애
갑자기 물체가 잘 보이지 않거나 두개로 나누어 보이는 경우가 생깁니다. 한쪽눈만 보이거나 양쪽 눈에 이상이 생기기도 해요.
6. 뇌경색 초기증상 어지럼증
특별한 변화 없이 어지럼증이 지속된다면 뇌경색을 의심해 볼 수 있어요. 가만히 있는데도 주변의 사물이 빙빙도는 느낌이 들고 땅이 움직이는것 같은 느낌이 들게 됩니다.
7. 뇌경색 초기증상 두통
일상적인 두통과 다르게 머리가 깨질듯한 느낌이 들고 목 뒤쪽이 당기는 듯한 느낌이 든다고 해요. 심하면 현기증과 구토가 동반되어요.






뇌경색 초기증상 - 뇌경색 치료
뇌경색은 발생 후 얼마나 빨리 치료를 시작하냐에 따라 예후가 결정돼요. 증상이 발생하면 최대한 빨리 병원을 방문하여 초급성기 치료를 받아야 해요.
급성기 치료 후에는 이유가 되는 것에 따라 재발 방지를 위한 치료를 하게 되며 후유증에 대한 재활치료도 할 수 있는 한 빨리 시행하는 것이 회복에 도움이 되어요.
증상이 처음 나타난 후 4-5시간이 경과하지 않았다면 주사 제제를 통한 혈전용해술을 시도해 볼 수 있답니다.
24시간이 경과하지 않았고 대뇌혈관이 막힌 것을 확인하였다면 막힌 혈관에 대하여 기계적 재개통술을 시도할 수 있어요.
초급성기가 경과한 후에는 보전적 치료를 시행해요.
혈전용해제, 항혈소판제, 항응고제 등을 사용하여 재발 방지를 위한 약물치료를 시행해요. 약물요법만으로 안될 때 스텐트 삽입술이나 경동맥 내막 절제술을 시행하기도 해요.
편측마비나 연하장애, 운동장애등 후유증으로 남는 증상에 관하는 것은 재활운동 및 재활치료를 통해 회복에 대한 기대를 해볼 수 있답니다.
뇌병변이 일어 난 후 회복에 대한 속도가 가장 빠른시기는 3~6개월 정도라고 하니 그 동안 재활치료와 재활운동을 필수로받아 치료하시길 바래요.






뇌경색 초기증상 - 관리 방법 및 검사 방법
1. 뇌경색 관리 방법
동맥경화증을 관리하기 위하여 콜레스테롤이 높은 식품은 피하고, 가공음식, 인스턴트음식 또 가능하면 피하고 염분의 양이 많은 양의 식품은 피해요. 그리고 금연, 금주하고, 고혈압과 뇌졸중 관리를 을 위하여 염분 섭취를 줄이는 것이 중요해요. 또한 지속적인 운동으로 혈압을 완화하고 비만을 관리합니다.
2. 뇌경색 검사방법
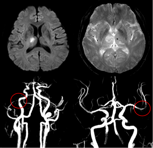
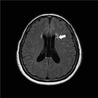
이 질병을 진단하는 검사로는 몇 가지가 이어질 수 있답니다. 뇌졸중에는 뇌출혈과 뇌경색이 있는데, 이 양쪽 모두는 양상이 다르며 무엇이냐에 따라서 치료 절차도 상이하기 때문에 뇌경색 검사방법으로 진단을 정확하게 받는 것이 선행되어야 하고 중요한 부분이라고 할 수 있어요. 우선 뇌경색 초기증상이 보인다면 방문을 하여서 전문가와 상담을 진행하게 되겠고, 진행되는 뇌경색 검사방법으로는 뇌혈관 자기 공명영상, 공명영상 촬영술, 전산화 단층 촬영, 심장 초음파, 경동맥 초음파, 뇌혈관 초음파 등의 방식으로 환자의 현재 상태를 파악하여 치료가 진행되겠죠.
3. 뇌경색 재발률
뇌경색은 한 번 걸리면 완전히 완치되기가 어려운 질병에 속합니다. 완치가 되어도 뇌경색이 한 번 생기면 일 년 안에 재발할 확률이 약 10% 정도이며 5년 안에 재발할 확률은 20~30% 정도입니다. 환자의 뇌혈관 상태와 재활을 위한 노력을 얼마나 했는지에 따라서 재발률이 달라져요.






4. 뇌경색 예방
뇌경색을 미리 막기 위하는 것은 위험요인의 관리가 가장 중요해요. 고혈압, 당뇨, 심장질환, 고지혈증, 비만, 수면무호흡증, 운동부족, 과음등으로부터 우리 몸을 관리하는 것이 뇌경색 예방에 필수적입니다.
이러한 위험인자를 포함하고 있는 사람은 그렇지 않은 사람에 비해 뇌졸중의 발생이 크게 올라간다고 해요.
혈압관리, 당뇨관리, 동물성 지방이나 콜레스테롤을 줄인 좋은 식단, 금연과 절주, 지속적인 운동을 하시는 것이 좋아요.
기온이 감소하는 곳에 가면, 혈관이 수축하게 되어요. 그렇게 디면 혈압을 높일 수 있어요. 겨울철 추운 곳에 너무 장시간 있는것은 당연히 좋지 않으며, 고령의 나이라면 더욱더 꼭 각별히 주의하셔야 할 것입니다.
콜레스테롤 수치에도 신경쓰고 관리하는 것이 좋으며, 유산소 운동이나 근력운동등도 평소에 꾸준히 해주는 것이 좋은데, 운동을 하면, 심혈관계가 개선될 수 있기 때문이죠.
이처럼, 운동은 뇌경색뿐 아니라 고혈압, 당뇨 그리고 가지가지 성인병등과 같은 질환 예방에도 수많은 힘 입을 수 있다고 하며 더 나아가서는 기타 다른 여러 질환을 방지하는 가장 쉬운 방법이기도 해요. 오늘은 뇌경색 초기증상에 관해 살펴보았어요.
뇌경색
최신 2024 유아 폐렴 증상 및 예방법 도움되는 음식 모음집
유아 폐렴 이란 폐렴(Pneumonia)은 폐의 기피세포들을 중심으로 발생하는 감염성 질환으로, 일반적으로 세균, 바이러스, 곰팡이 등으로 인해 발생합니다. 이러한 감염으로 인해 폐포 내부에 염증이
lowpanic.omwteam.com
최신 2024 맹장염 초기증상 9가지 자가진단
맹장 초기증상 - 일상에 갑자기 찾아오는 맹장염(충수염) 어느 날 우연히 인터넷 검색을 하다가 재미있는 글을 발견하였습니다. 배꼽 아래 손가락 두 마디 정도 되는 지점을 눌렀을 때 통증이 느
lowpanic.omwteam.com